Quistes paraprostáticos y hernia perineal secundaria en un canino de 8 años. Diagnóstico y resolución médico quirúrgica
Paraprostatic cysts and secondary perineal hernia in an 8-year-old dog. Diagnosis and medical-surgical management
DOI:
https://doi.org/10.19137/cienvet.v27.9033Palabras clave:
quiste paraprostatico, , Colopexia y cistopexia, Hernia perineal, Tomografía abdominal, caninoResumen
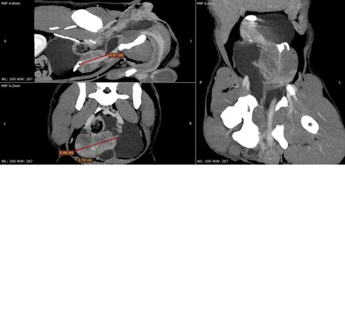
Se describe el caso de un canino adulto joven, macho sin esterilizar, que presentaba signos clínicos compatibles con una hernia perineal (tenesmo, constipación, deformación en más del periné, etc). El paciente fue evaluado mediante ecografía abdominal, donde se detectaron estructuras quísticas de gran tamaño asociadas a la próstata, las cuales desplazaban los órganos abdominales. Antes de proceder a la resolución quirúrgica, se realizó una evaluación tomográfica para delimitar con mayor precisión las estructuras afectadas. Durante el procedimiento quirúrgico, se abordaron las lesiones quísticas, realizando una omentalización del tejido residual. Además, se efectuó la fijación del colon y la vejiga a la pared abdominal, sin necesidad de intervenir el diafragma pélvico. Cultivo negativo y la histopatología compatible con una estructura quística. La recuperación fue sin complicaciones hasta la fecha del reporte, más de 12 meses. Este reporte tiene como objetivo resaltar la importancia de las evaluaciones prequirúrgicas imagenológicas, la complementación de estas y la relevancia de técnicas quirúrgicas como la omentalización de la próstata, junto con la fijación del colon y la vejiga, para un manejo integral y efectivo en este tipo de casos
Descargas
Citas
Park J, Won H, Park GG, Jeong HJ, Moon C, Jeong J, et al. Laparoscopic treatment of paraprostatic cyst in two dogs – complete resection, and partial resection with omentalization: a case report. Frontiers in Veterinary Science [Internet]. 2024 Apr 8;11. ://doi.org/10.3389/fvets.2024.1270819
Smith J. Canine prostatic disease: A review of anatomy, pathology, diagnosis, and treatment. Theriogenology [Internet]. 2008 Jun 3;70(3):375–83. doi.org/10.1016/j.theriogenology.2008.04.039
Head LL, Francis DA. Mineralized paraprostatic cyst as a potential contributing factor in the development of perineal hernias in a dog. Journal of the American Veterinary Medical Association [Internet]. 2002 Aug 1;221(4):533–5. doi.org/10.2460/javma.2002.221.533
Del Magno S, Pisani G, Dondi F, Cinti F, Morello E, Martano M, et al. Surgical treatment and outcome of sterile prostatic cysts in dogs. Veterinary Surgery [Internet]. 2021 May 7;50(5):1009–16. doi.org/10.1111/vsu.13642
McGill J, Mankin KMT, Parambeth JC, Edwards J, Cook A. Urine-Filled large prostatic cystic structure in two unrelated male miniature dachshunds. Journal of the American Animal Hospital Association [Internet]. 2018 Oct 1;54(6). doi.org/10.5326/jaaha-ms-6743
Black GM, Ling GV, Nyland TG, Baker T. Prevalence of prostatic cysts in adult, large-breed dogs. Journal of the American Animal Hospital Association [Internet]. 1998 Mar 1;34(2):177–80. doi.org/10.5326/15473317-34-2-177
Welsh EM, Kirby BM, Simpson JW, Munro E. Surgical management of perineal paraprostatic cysts in three dogs. Journal of Small Animal Practice [Internet]. 2000 Aug 1;41(8):358–61. doi.org/10.1111/j.1748-5827.2000.tb03220.x
Song Y, Hong Y, Choi S, Song W, Park H, Lee JM, et al. Subtotal Resection of the Giant Paraprostatic Cyst with Omentalization in a Dog: A Case Report. Journal of Veterinary Clinics [Internet]. 2023 Jun 30;40(3):230–7. doi.org/10.17555/jvc.2023.40.3.230
Kim HJ, Kim SY, Kim SS, Yun SK, Lee JS, Hong SK, et al. Intra-abdominal necrotic lipoma diagnosed by computed tomography as a paraprostatic cyst. Journal of Veterinary Science [Internet]. 2017 Jan 1;18(4):559. doi.org/10.4142/jvs.2017.18.4.559
Doeven L, Yaffy D, Jones C, Rossanese M. Clinical and diagnostic features of a paraprostatic cyst of a true uterus masculinus in a male cat presented with tenesmus. Veterinary Record Case Reports [Internet]. 2024 Feb 5;12(2). Available from: https://doi.org/10.1002/vrc2.807
Michael M. Pavletic. Atlas de manejo de las heridas y cirugía reconstructiva en los pequeños animales. Editorial. BsAs Argentina. Editorial Multimedica. 2020.
Karen M. Tobias y Spencer A. Johnston. Veterinary Surgery: Small Animal - Elsevier 2013.
Eric Monet. Small animal soft tissue surgery. Editorial Wiley Blackwell.2013
Descargas
Publicado
Número
Sección
Licencia
Derechos de autor 2025 Juan Manuel Guevara, Gastón Finucci Curi, Leonardo Darío Madriaga , Aldana Laura Tommei

Esta obra está bajo una licencia internacional Creative Commons Atribución-NoComercial-CompartirIgual 4.0.
Al momento de enviar sus contribuciones, los colaboradores deberán declarar , de manera fehaciente, que poseen el permiso del archivo o repositorio donde se obtuvieron los documentos que se anexan al trabajo, cualquiera sea su formato (manuscritos inéditos, imágenes, archivos audiovisuales, etc.), permiso que los autoriza a publicarlos y reproducirlos, liberando a la revista y sus editores de toda responsabilidad o reclamo de terceros , los autores deben adherir a la licencia Creative Commons denominada “Atribución - No Comercial CC BY-NC-SA”, mediante la cual el autor permite copiar, reproducir, distribuir, comunicar públicamente la obra y generar obras derivadas, siempre y cuando se cite y reconozca al autor original. No se permite, sin embargo, utilizar la obra con fines comerciales.

.jpg)

4.png)






